73SSIFF - 2025eko irailak 19/27
Hizkuntzak
Babesle
Ofizialak
Media
Partner

Fe / Faith (Fedea)

Maider Fernández Iriarte
Espainia      25 m.
Zinemira Kimuak
Sinopsia

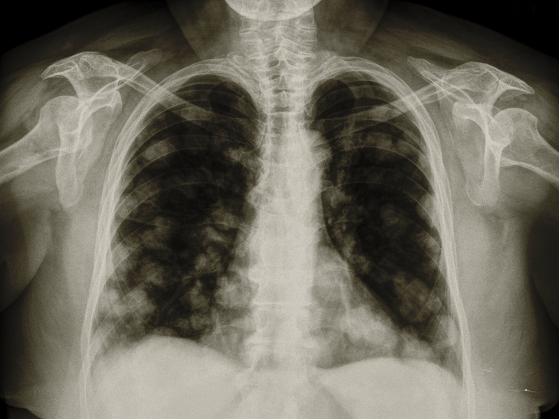
Sofiari Ama Birjina agertu zitzaion. Gero, Lurdesera joan zen, eta gaitz sendaezin batetik sendatu zen. Beste garai batean eta beste leku batean, mediku-talde bat haren kasua aztertzeko bildu da. Zer gertatzen da zientziak eta erlijioak topo egiten dutenean?

Zuzendaria
Maider Fernández Iriarte (Espainia)
Gidoia
Maider Fernández Iriarte, Irati Gorostidi Agirretxe
Ekoizpena
Apellaniz y De Sosa (Espainia)
Leire Apellaniz
Banaketa
Kimuak (Espainia)
Argazkia
Carlos Muñoz Gómez-Quintero
Muntaketa
Virginia García del Pino
Soinu
Andrea Sáenz Pereiro
Parte-hartzaileak
Alai Goñi, Blanca Morera, María José Dronda, Joxemari Arrinda, Jenifer Gómez, Mari Carmen del Hierro, Nora Etxabeguren, María Luisa Garcés, Elisa Pérez
Formatua
DCP FOLLOWING DCI
Iraupena
24 m.
Herrialdea
Espainia
Babesle Ofizialak:
Media Partner:
Laguntzaile Ofizialak:
Instituzio Kideak: